في حالات معينة، يدهش بعض الأشخاص عند أكتشاف أن ما ظنوه مرض بسيط ينتج في حالة صحية خطيرة ومميتة. عندما شعر جوش ابكين، معلم في الـ36 من عمره، بالام ظهر، ظن أنها حالة بسيطة من التشنج ولكنه ذهل عندما اكتشف الاطباء ورم سرطاني بحجم كرة قدم في ظهره.
|
|
|
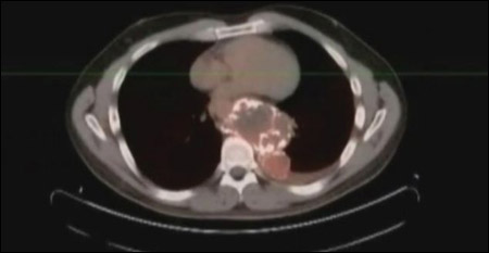
صورة X-Ray للورم السرطاني! |
وقال أبكن "ظننت أنني أشكو من تمزق عضلي لكن الطبيب تجهم ما أن نظر إلى الشاشة التي تكشف ما في داخلي". وأضاف "لم يعرفوا ما الذي ينمو في البداية"، مضيفا انه تبين لاحقا انه ورم صلب بحجم كرة قدم ولديه تشعبات.
وقال الأطباء للرجل أن الورم بات عملاقا وأخذ يضغط على قلبه ورئتيه وأمعائه، وأوضحوا له ان الورم ينمو على ما يبدو منذ قرابة العقد.
وأخضع أبكن لجراحــــة استؤصل فيها الـــورم واضطـــر بعد ذلك للخضـــوع لجراحـــة ترميـــم استغرقت عدة ساعات. وقال د.دي بيرنا ان "محاولة استئصال ورم كبير ومتكلس وصلب كالصخرة كانت تجربة طبية صعبة"، وسيجري أبكن صورا مقطعية مستمرة للتأكد من عدم عودة الورم.



ملاحظة: الصور نقلا عن CBS